Foreign bodies of the nasal cavity and sinuses

Modern equipment at K+31, including endoscopes with variable viewing angles, allows you to perform high-quality surgery and create the most comfortable conditions for the patient, while minimizing the discomfort from the procedure.
Best specialists
Best
specialists
Expert equipment
Expert
equipment
Advanced diagnostic treatment
Advanced diagnostic
treatment
Download the application “Personal Account K+31”
Everything about your health in one click!
Subscribe to social networks K+31
To keep up to date with current offers and receive useful advice about your health.

About the service

Foreign bodies in the nasal cavity and sinuses are very diverse, and sometimes the story of their entry is quite fantastic. The “champions” in this regard are children who stick everything they can get into their noses.

If the foreign object is small in size with a smooth surface, you can get by by blowing your nose. After removing a foreign body at home, you need to see a specialist to prevent the development of inflammation.

For adults, everything is more complicated. Iatrogenic foreign bodies, almost always in the maxillary sinuses, are filling material that has entered the sinus lumen. And dentists are rarely to blame; there are some anatomical prerequisites for such a development of events - sometimes the roots of the teeth extend into the lumen of the sinus.

We also encounter post-traumatic foreign bodies, fragments, debris, consequences of wounds (bullets of all types).

Treatment in this case is only surgical. As a rule, we use an endoscopic approach when treating such patients.

About the service

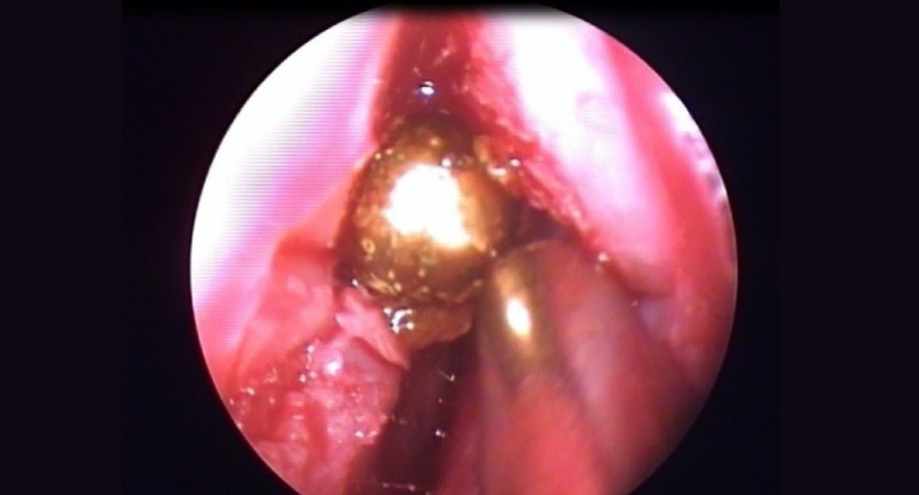
Foreign body removal process

Foreign body removal process

Using an endoscope, the doctor inserts instruments into the sinuses of the nose without resorting to incisions in the external tissues, after which he performs manipulation to remove the foreign body. The accuracy of the actions is ensured by visual control using an endoscope - the surgeon sees everything that happens on the monitor screen.

The operation is performed under anesthesia, which makes it painless for the patient. This method of treatment takes little time and does not require long postoperative recovery.

Diagnosis is carried out by an otolaryngologist using an examination of the nasal cavity, anamnesis and rhinoscopy. In all cases, if a foreign body is suspected, a computed tomogram and CT scan are necessary.

runny nose

Symptoms of the presence of a foreign body

  • Discharge from one half of the nasal cavity.
  • Unpleasant odor.
  • Difficulty in nasal breathing.
  • Pain in the sinus.

Features of treatment in K+31

Features of treatment in K+31
  • Highly qualified specialists.
  • International treatment protocols – taking into account foreign and Russian standards.
  • Selection of a minimally invasive technique.
  • Accompanying treatment that minimizes possible side effects.
  • The highest standard and level of safety in anesthesia.
  • Detailed diagnostics (in-house laboratory, MRI, CT, X-ray, biopsy).
  • Ability to provide round-the-clock assistance, monitoring and diagnostics.

Our doctors

Sokolova Vera Nikolaevna
Experience 17 years
Make an appointment
Sokolova
Vera Nikolaevna
Otorhinolaryngologist, audiologist-otorhinolaryngologist
Spiranskaya Olga Aleksandrovna
Experience 19 years
Make an appointment
Spiranskaya
Olga Aleksandrovna
Head of the otolaryngology department, leading otolaryngologist, ENT surgeon, pediatric ENT
Tetzoeva Zalina Muratovna
Experience 25 years
Make an appointment
Tetzoeva
Zalina Muratovna
Deputy chief physician for outpatient care, otolaryngologist, surgeon
Kochetkova (Minavnina) Yulia Vladimirovna
Experience 14 years
Make an appointment
Kochetkova (Minavnina)
Yulia Vladimirovna
Leading otolaryngologist, ENT surgeon, pediatric ENT
Osipova Irina Andreevna
Experience 26 years
Make an appointment
Osipova
Irina Andreevna
Head of the center for otolaryngology and ENT rheumatology, otolaryngologist, surgeon, leading specialist, expert in ENT pathology in autoimmune diseases
Selenina Tatyana Vitalievna
Experience 22 years
Make an appointment
Selenina
Tatyana Vitalievna
ENT doctor
Lapshina Anastasia Andreevna
Experience 12 years
Make an appointment
Lapshina
Anastasia Andreevna
Otolaryngologist, audiologist
Samarin Nikolay Evgenyevich
Experience 19 years
Make an appointment
Samarin
Nikolay Evgenyevich
ENT doctor
Lopatin Andrew Stanislavovich
Experience 46 years
Make an appointment
Lopatin
Andrew Stanislavovich
Otorhinolaryngologist, surgeon
Portnyagina Maria Pavlovna
Experience 14 years
Make an appointment
Portnyagina
Maria Pavlovna
Audiologist-otorhinolaryngologist
Kaspranskaya Galina Rustemovna
Experience 21 year
Make an appointment
Kaspranskaya
Galina Rustemovna
Otorhinolaryngologist, otoneurologist, audiologist
Koblova Tatyana Alexandrovna
Experience 23 years
Make an appointment
Koblova
Tatyana Alexandrovna
ENT doctor
Varenkova Olga Vladimirovna
Experience 26 years
Make an appointment
Varenkova
Olga Vladimirovna
Otorhinolaryngologist
Budeikina Liliya Sergeevna
Experience 12 years
Make an appointment
Budeikina
Liliya Sergeevna
Otorhinolaryngologist, phoniatrist
Kornienko Roman Anatolievich
Experience 28 years
Make an appointment
Kornienko
Roman Anatolievich
Otorhinolaryngologist
Budnitskaya Elena Vasilievna
Experience 13 years
Make an appointment
Budnitskaya
Elena Vasilievna
Otorhinolaryngologist
Varvyanskaya Anastasia Vladimirovna
Experience 22 years
Make an appointment
Varvyanskaya
Anastasia Vladimirovna
Otolaryngologist, surgeon, leading specialist, expert in olfactory dysfunction
Akhmedov
Magomed Akhmedovich
Otorhinolaryngologist, pediatric ENT
Putkaradze Ekaterina Iosifovnz
Experience 3 years
Make an appointment
Putkaradze
Ekaterina Iosifovnz
Otorhinolaryngologist, phoniatrist
Chekaldina Elena Vladimirovna
Experience 14 years
Make an appointment
Chekaldina
Elena Vladimirovna
Leading otolaryngologist, ENT surgeon, pediatric ENT
Samusenkova Ksenia Vladislavovna
Experience 6 years
Make an appointment
Samusenkova
Ksenia Vladislavovna
Otorhinolaryngologist
Polivoda Anna Mikhailovna
Experience 20 years
Make an appointment
Polivoda
Anna Mikhailovna
Otorhinolaryngologist, audiologist, otoneurologist
Balybina Natalia Alekseevna
Experience 5 years
Make an appointment
Balybina
Natalia Alekseevna
Otorhinolaryngologist
Malyavina Ulyana Stanislavovna
Experience 28 years
Make an appointment
Malyavina
Ulyana Stanislavovna
Leading otolaryngologist, ENT surgeon, pediatric ENT
Latysheva Elena Nikolaevna
Experience 16 years
Make an appointment
Latysheva
Elena Nikolaevna
Leading otolaryngologist, ENT surgeon, pediatric ENT
Krasnosheeva Ekaterina Alexandrovna
Experience 9 years
Make an appointment
Krasnosheeva
Ekaterina Alexandrovna
Otorhinolaryngologist
Gergiev Vladimir Felixovich
Experience 10 years
Make an appointment
Gergiev
Vladimir Felixovich
Otorhinolaryngologist
All specialists
2GIS Award
2GIS Award

This award is given to clinics with the highest ratings according to user ratings, a large number of requests from this site, and in the absence of critical violations.

«Good place» according to Yandex
«Good place» according to Yandex

This award is given to clinics with the highest ratings according to user ratings. It means that the place is known, loved, and definitely worth visiting.

Our doctors are laureates of the ProDoctors Award
Our doctors are laureates of the ProDoctors Award

The ProDoctors portal collected 500 thousand reviews, compiled a rating of doctors based on them and awarded the best. We are proud that our doctors are among those awarded.

Make an appointment at a convenient time on the nearest date

Price

Removal of a foreign body in the nose
from 2 500 ₽

Appointment to the doctor

Fill out the form, our managers will contact you within 15 minutes
Почему К+31?
К + 31 — full-cycle multidisciplinary medical centers, including the possibility of providing medical services of European quality level.
К + 31 — are leading doctors and diagnostics using high-tech equipment from world manufacturers (Karl Storz, Olympus, Siemens, Toshiba, Bausch&Lomb, Technolas, Zeiss, Topcon).
К + 31 — is ethical. The staff of K+31 clinics maintain open relationships with patients and partners. An individual approach to each patient is the basis of our service standards.
К + 31 — is modernity. On call 24/7: call center operators will answer your questions at any time and book you an appointment with doctors. Contact us by phone, through the feedback form on the website and Max.

Reviews

Elena Vladimirovna inspires confidence, self-confidence, and it is immediately felt that the doctor is experienced and talented in his field. She takes her time, explains everything, and is very friendly. We were with my son, 2.5 years old. Finally, we found a doctor who clearly explained our tactics in our difficult situation. As an anxious mom, I felt relieved, it's worth a lot. Thanks! The clinic's management should appreciate Elena Vladimirovna Chekaldina as much as possible.
13.05.2026
Artemiy K.
Irina Andreevna is a very competent specialist, thank you for the reception
04.05.2026
Yuliya Ya.

About doctor:

Osipova Irina Andreevna

An excellent doctor. He is very attentive and competent. He listened to me completely, examined me and explained everything so clearly that there were no questions left and we went for surgery. He performed the operation flawlessly.
01.05.2026
Rasul U.
Thanks to Tatiana Alexandrovna for the appointments that quickly put me in order!
30.04.2026
Svetlana N.
Kochetkova Yulia Vladimirovna is a wonderful doctor!!! She is very polite, neat, and a good specialist. We are satisfied with the reception!
30.04.2026
A. Lom.
Ulyana and Natalia OVL, attentive and responsive attitude.
27.04.2026
V. Ter.
I would like to sincerely thank Anastasia Vladimirovna Varvyanskaya for her high professionalism and a rare combination of calmness, attention and human kindness. I've been dealing with a long-standing nasal breathing problem. At the consultation, the doctor understood the situation very carefully, explained everything in detail and in clear language, and suggested the optimal treatment plan and further actions — without unnecessary promises, but with confidence and clear logic. The operation and postoperative management were carried out as carefully as possible: at each stage there was a feeling that you were in safe hands. Separately, I would like to note the delicacy, care and warm attitude — this is especially important when you are worried and go to the intervention. Now the recovery is going well, nasal breathing has already become noticeably better. Many thanks for the result and for the attitude towards the patient. I recommend it with confidence!
26.04.2026
Aleksandr T.
I am very grateful for the detailed explanation during the appointment to the doctor Akhmedov M. A.
26.04.2026
A. Tol.
During the year I traveled all over our Russia, the diagnosis was very difficult for me, as it turned out, and finally I was very lucky, I came across wonderful doctors Osipova I.A. and Shevtsova T.P. and now I am in safe hands. Thanks to these doctors for not rejecting me, they immediately determined the diagnosis, and prescribed therapy. The doctors are very polite, they listened to me very carefully from beginning to end. If everyone had such doctors, there would be much fewer sick people. I wish you all good health and never get sick.
25.04.2026
Mariya

Our clinics

Address K+31 Lobachevskogo 2

st. Lobachevskogo, 42/7

Contacts

+7 499 999-31-31

Opening hours

Mon-Fri: 08:00 – 21:00
Weekend: 09:00 – 19:00

Address K+31 on Lobachevskogo

st. Lobachevskogo, 42/4

Contacts

+7 499 999-31-31

Opening hours

Mon-Fri: 08:00 – 21:00
Weekend: 09:00 – 19:00

Address K+31 Petrovskie Vorota

1st Kolobovsky pereulok, 4

Contacts

+7 499 999-31-31

Opening hours

Mon-Fri: 08:00 – 21:00
Sat-Sun: 09:00 – 19:00

Address K+31 West

Orshanskaya, 16/2; Ak. Pavlova, 22

Contacts

+7 499 999-31-31

Opening hours

Mon-Fri: 08:00 – 21:00
Sat-Sun: 09:00 – 18:00
K+31 on Lobachevskogo
Didn't find the service you were looking for?

Экстренная помощь